
Won-Wook Jeong*, **, Sang Gwon Seo*, Eui Jung Lee*, Joo-young Oh*, and Kyung Jin Lee**,†
*Clean Beauty R&D Center, LG Science Park E12, LG H&H Ltd., Seoul 07795, Korea
**Department of Chemical Engineering and Applied Chemistry, Chungnam National University, Daejeon 34134, Korea
*엘지생활건강 기술연구원 클린뷰티 연구소, **충남대학교 응용화학공학과
Reproduction, stored in a retrieval system, or transmitted in any form of any part of this publication is permitted only by written permission from the Polymer Society of Korea.
Microbiogels made from natural polymers are attractive for biomedical applications such as drug delivery and have various manufacturing methods. However, it has drawbacks such as unstable yield and cumbersome separation process. This study presents a simple method to form cosmetic W (microbiogel)/O emulsion that produces microbiogel directly during cosmetic W/O emulsion manufacturing process and then stably produce the W (microbiogel)/O/W multi-emulsion through a continuous room temperature process. We confirmed that a partitioned structure was formed in which other particles exist within the particles dispersed in the outer water phase from microscopic observation of the prepared W/O/W multi-emulsion and the particle size and viscoelasticity of W/O emulsion and W/O/W multi-emulsion increased as the ratio of inner water phase (microbiogel) increased. This manufacturing method can produce high-content microbiogels and is of significant value in research on W/O/W cosmetic formulations that can encapsulate various water-soluble and oil-soluble active ingredients within a partitioned structure.
천연 고분자로 만들어진 마이크로바이오젤은 약물전달 등 생의학 응용에 매력적이고 그 제조 방법이 다양하나 불안정한 수율, 번거로운 분리과정들이 수반되는 약점이 있다. 본 연구는 화장품의 W/O 에멀젼 제조 과정 중에 직접 마이크로바이오젤을 제조하는 화장품용 W(마이크로바이오젤)/O 에멀젼을 형성시킨 후, 연속 실온 공정으로 안정적으로 W(마이크로바이오젤)/O/W 멀티-에멀젼을 제조하는 간단한 방법을 제시한다. 우리는 제조된 W/O/W 멀티-에멀젼의 현미경 관찰을 통해 바깥쪽 수상에 분산되어 있는 입자들 안에 또다른 입자들이 존재하는 구획된 구조가 형성되었음을 확인하고, 안쪽 수상(마이크로바이오젤) 비율이 증가함에 따라 W/O 에멀젼과 W/O/W 멀티-에멀젼의 입자 크기와 점탄성이 커짐을 확인하였다. 이 제조 방법은 고함량의 마이크로바이오젤을 제조할 수 있고, 다양한 수용성 및 유용성 효능성분을 구획된 구조 내에 캡슐화할 수 있는 W/O/W 화장품 제형 연구에 중요한 가치가 있다.
We presented a simple method to form cosmetic W (microbiogel)/O emulsion and then stably produce the W (microbiogel)/O/W multiemulsion through a continuous room temperature process. We confirmed that a partitioned structure was formed in which other particles exist within the particles dispersed in the outer water phase from microscopic observation of the prepared W/O/W multi-emulsion.

Keywords: microbiogels, carrageenan, W/O emulsion, W/O/W multi-emulsion, cosmetic formulations, encapsulate.
이 연구는 LG생활건강의 연구비를 지원받아 수행하였습니다. 본 과제(결과물)는 2023년도 교육부의 재원으로 한국연구재단의 지원을 받아 수행된 지자체-대학 협력기반 지역혁신 사업의 결과입니다(2021RIS-004).
저자들은 이해상충이 없음을 선언합니다.
천연 고분자로 만들어진 1~100 마이크로미터의 마이크로바이오젤은 약물전달, 세포전달 같은 생의학 응용에 매력적이며, 주입 방법(injection), 템플릿 방법(templating), 코아세르베이션 방법(coacervation) 등 다양한 방법으로 만들어진다.
그러나, 최종적으로 마이크로바이오젤을 얻기 위해 반복되는 번거로운 분리과정들이 수반되어 불안정한 수율과 구조적인 손상의 약점이 있다.1,2 이를 해결하기 위하여, 이전 연구에서는 마이크로바이오젤을 따로 분리하기 위한 세척, 원심분리 등의 과정이 필요없는 “마이크로바이오젤-인-오일 에멀젼(microbiogel-in-oil emulsion)” 화장품을 제조하는 원스텝 방법을 새롭게 제시하였다.3
본 연구에서는 이전 연구에서 얻어진 마이크로바이오젤-인-오일 에멀젼(W/O 에멀젼)을 사용하여 연속 공정으로 W/O/W 멀티-에멀젼을 실온에서 안정적으로 제조하는 간단한 방법을 제시하고자 한다. W/O/W 멀티-에멀젼은 작은 수상 액적을 포함하는 오일 액적이 수성 연속상에 분산되어 있는 복합 에멀젼으로, 구획된 구조로 인해 안쪽 수상에 친수성 효능성분을 캡슐화할 수 있다. 더불어 중간 유상에도 소수성 효능 성분을 캡슐화할 수 있어,4 식품, 의약품을 포함한 다양한 응용 분야에서 항산화제, 향료, 비타민, 프로바이오틱스, 호르몬, 스테로이드와 같은 수용성, 유용성 효능성분을 캡슐화하여 보호할 수 있다.5-10
본 연구에서 마이크로바이오젤의 소재와 조성은 이전 연구와 동일하게 카파-카라기난(kappa-carrageenan)으로 조성하였고, W/O 에멀젼과 W/O/W 멀티-에멀젼은 PEG-free, Silicone-free로 제조하여 피부에 보다 안전하게 처방하였다. 또한 본 연구는 제조된 W/O 에멀젼의 수상(마이크로바이오젤)과 유상 비율에 따른 입자 이미지 및 유변학을 관찰하고, 1단계에서 제조된 W/O 에멀젼이 실온 연속 공정으로 제조된 W/O/W 멀티-에멀젼의 입자 크기와 유변 거동에 미치는 영향을 제시하였다.
원료. 실험에 사용된 수상 원료인 카파-카라기난은 CP Kelco(Atlanta, GA)의 식품 grade 원료를 구입하여 사용하였고, 카라기난 겔화제로서 MgSO4는 K+S Minerals and Agriculture GmbH(Kassel, Germany), 폴리올 1,2-헥산디올은 ActivON CO. Ltd.(Suwon, Korea)를 구입하였다. 중간 유상 원료인 오일인 카프릴릭/카프릭트리글리세라이드(caprylic/ capric triglyceride)는 Palm-Oleo(Klang) Sdn. Bhd.(Selangor, Malaysia), W/O 에멀젼 유화제로 폴리글리세릴-6폴리리시놀리에이트를 Nippon Surfactant Industries(Tokyo, Japan)에서, 그리고, W/O 에멀젼 및 W/O/W 멀티-에멀젼의 형광 이미지 관찰을 위한 유용성 형광 물질인 Nile red는 Sigma(St. Louis, MO)에서 공급받았다. 바깥쪽 수상 원료인 천연 점증제 Kelco-care Diutan gum(Sphingomonas Ferment Extract)은 Lubrizol (Wickliffe, OH)에서 구입하였고, O/W 에멀젼 유화제로 SOLUBIL-ORG-1300(Polyglyceryl-10 Oleate, Polyglyceryl-10 Stearate)을 바이오뷰텍(Seongnam, Korea)에서 구입하였고, 폴리올은 안쪽 수상 원료와 동일한 원료로 사용하였다.
W/O 에멀젼 및 W/O/W 멀티-에멀젼 제조. 제조된 W/O 에멀젼 및 W/O/W 멀티-에멀젼의 샘플명과 조성을 Table 1과 2에 요약하여 나타냈다. Table 1을 보면, W/O 에멀젼은 수상과 유상의 중량 비율을 각각 3:7, 5:5, 7:3으로 조절하여 수상의 비율을 증가시켜 제조하였고, W/O/W 멀티-에멀젼은 제조된 각각의 3:7, 5:5. 7:3 W/O 에멀젼과 외상 수상을 50/50 wt%로 고정하여 제조하였다. Table 2는 W/O/W 멀티-에멀젼의 안쪽 수상(inner water phase), 중간 유상(middle oil phase), 바깥쪽 수상(outer water phase)의 각각 중량 퍼센트를 나타내었다. 안쪽 수상은 이전 연구의 바이오젤 조성 중,3 카라기난 함량 0.5 wt%, MgSO4 0.3 wt%, 폴리올 2 wt%를 동일하게 본 논문에 적용하였다. 중간 유상은 오일인 카프릴릭/카프릭트리글리세라이드를 88 wt%와 W/O 에멀젼의 계면활성제로 폴리글리세릴-6폴리리시놀리에이트를 12 wt% 처방하였다. 바깥쪽 수상은 O/W 에멀젼의 계면활성제로 폴리글리세릴-10 올리에이트와 폴리글리세릴-10스테아레이트 혼합원료를 5 wt%를 사용하였고, 점증제로는 천연검인 스핑고모나스발효추출물을, 폴리올은 2 wt%를 적용하였다.
W/O 에멀젼 및 W/O/W 멀티-에멀젼의 화장품 제조 모식도는 Figure 1에 나타냈다. 안쪽 수상, 중간 유상 및 W/O 에멀젼 제조 방법은 이전 논문의3 제조 방법과 동일하게 제조하였다. 즉, 안쪽 수상은 비이커에 정제수를 넣고 55 ℃로 유지시킨 상태에서 카라기난을 2000 rpm, 5분간 분산시킨 후, 폴리올과 MgSO4를 넣어 다시 동일하게 분산시켰고, 중간 유상은 다른 반응기에 계면활성제와 오일 성분을 포함한 유상 원료들을 넣고 온도를 55 ℃로 유지시켜 2000 rpm, 10분간 분산시켰다. 그 다음 별도의 메인 비이커에 준비된 55 ℃ 상태의 중간 유상을 먼저 투입하고 homo-mixer로 2000 rpm, 5분간 교반시킨 후, 준비된 55 ℃ 상태의 안쪽 수상을 서서히 투입하면서 homo-mixer로 2000 rpm, 5분간 교반시키고, 모두 투입된 후 다시 homo-mixer로 4000 rpm, 5분간 교반시킨 후, 28 ℃까지 냉각, 탈포하여 안쪽 수상이 마이크로바이오젤 상태인 W/O 에멀젼을 얻었다(1st Step). 다음 단계는 실온 공정으로 설계하여, 형성된 마이크로바이오젤이 안정적으로 W(마이크로바이오젤)/O/W멀티-에멀젼으로 형성될 수 있도록 제조하였다(2nd Step). 즉, 바깥쪽 수상을 실온에서 정제수, 계면활성제, 점증제를 넣고 disper로 2000 rpm, 10분간 분산시켜 준비한 후, 얻어진 실온 상태의 W/O 에멀젼을 바깥쪽 수상에 서서히 투입하면서 homo-mixer로 3000 rpm, 5분간 교반시키고, 모두 투입된 후 다시 homo-mixer로 3000 rpm, 5분간 교반시킨 후, 탈포하여 최종적으로 안쪽 수상이 마이크로바이오젤인 W/O/W 멀티-에멀젼을 얻었다.
얻어진 W/O 에멀젼 및 W/O/W 멀티-에멀젼의 화장품을 Figure 2에 사진으로 나타냈다. (a)는 안쪽 수상:중간 유상의 중량 비율이 왼쪽부터 각각 3:7, 5:5(Nile red 함유), 7:3인W/O 에멀젼이고, (b)는 안쪽 수상:중간 유상:바깥쪽 유상의 중량 비율이 왼쪽부터 각각 3:7:10, 5:5:10(Nile red 함유), 7:3:10인 W/O/W 멀티-에멀젼이며, (c)는 (b)에서 7:3:10 W/O/W 멀티-에멀젼을 스포이드 용기로부터 토출하여 화장품 내용물을 보여주고 있다.
현미경 관찰. 제조된 W/O 에멀젼과 W/O/W 멀티-에멀젼의 현미경 관찰은 Leica Application Suite X 기기(20X 대물 렌즈)를 사용하였고, 형광 관찰은 Leica 형광 현미경을 사용하였다.
입자 크기 관찰. 제조된 W/O 에멀젼과 W/O/W 멀티-에멀젼의 입자 크기 측정은 MASTERSIZER 3000(Malvern Panalytical, Malvern, United Kingdom)으로 제조사에서 제시하는 방법에 의거하여 수행하였다.
레올로지 측정. 제조된 W/O 에멀젼과 W/O/W 멀티-에멀젼의 점탄성은 스트레스-제어 레오미터(stress-controlled rheometer, HAAKE MARS II, Thermo Fisher Scientific)로 저장 탄성률(storage moduli, G') 및 손실 탄성률(loss moduli, G")을 1H의 진동 주파수(oscillatory frequency)에서 평행판 형상(parallel-plate geometry, 지름 40 mm)을 사용하여 용매 트랩을 씌우고 25 ℃, 0.1 Pa의 전단 응력을 적용하여 측정하였다.
|
Figure 1 Preparation of W/O emulsion and W/O/W multi-emulsion. |
|
Figure 2 Images of samples of 3:7, 5:5, 7:3 W/O emulsion: (a) 3:7:10, 5:5:10, 7:3:10 W/O/W multi-emulsion; (b) 7:3:10 W/O/W multi-emulsion discharged from the container; (c) Sample of 5:5 W/ O in (a) and sample of 5:5:10 W/O/W in (b) appear pink color from containing fluorescence (Nile red). |
|
Table 2 Formulations of Inner Water Phase, Middle Oil Phase and Outer Water Phase in W/O/W Multi-emulsion |
W/O 에멀젼 입자. 제조된 3:7, 5:5, 7:3 W/O 에멀젼을 현미경으로 관찰한 결과를 Figure 3에 나타내었다. W/O 에멀젼의 입자 크기는 (a), (b), (c) 순으로 커지는 경향을 확인할 수 있었다. 이는 내상의 W/O 에멀젼의 안쪽 수상의 함량이 증가함으로 인한 것으로 이해된다. (d)는 (b)를 형광 현미경으로 관찰한 이미지로, 외상 유상에 유용성 형광물질이 함유되어있어 녹색으로 보이고, 안쪽 수상은 검고 어둡게 보임을 확인 할 수 있었다. 이는 안쪽 수상이 마이크로바이오젤이 형성되어 있음을 의미한다.
제조된 3:7, 5:5, 7:3 W/O 에멀젼의 점탄성 거동을 확인하기 위해, 저장 탄성률 및 손실 탄성률을 측정하여 그 결과를 Figure 4에 나타내었다. W/O 에멀젼의 안쪽 수상의 함량이 많아질수록, 즉 그래프 (a), (b), (c) 순으로 저장 탄성률과 손실 탄성률이 모두 각각 커지는 경향을 확인할 수 있었다. (a), (b), (c)에서의 저장 탄성률은 최소치~최대치가 각각 0.01-0.05, 0.02-0.1, 0.2-3.7 Pa로 증가하였고, 손실 탄성률 역시 각각 0.56-0.59, 1.1-1.4, 5.7-13.1 Pa로 증가하였다. 이는 안쪽 수상이 마이크로바이오젤로 형성되어있고, 그 함량이 많아짐으로써, W/O 에멀젼의 점탄성에 영향을 미친 것으로 해석된다.
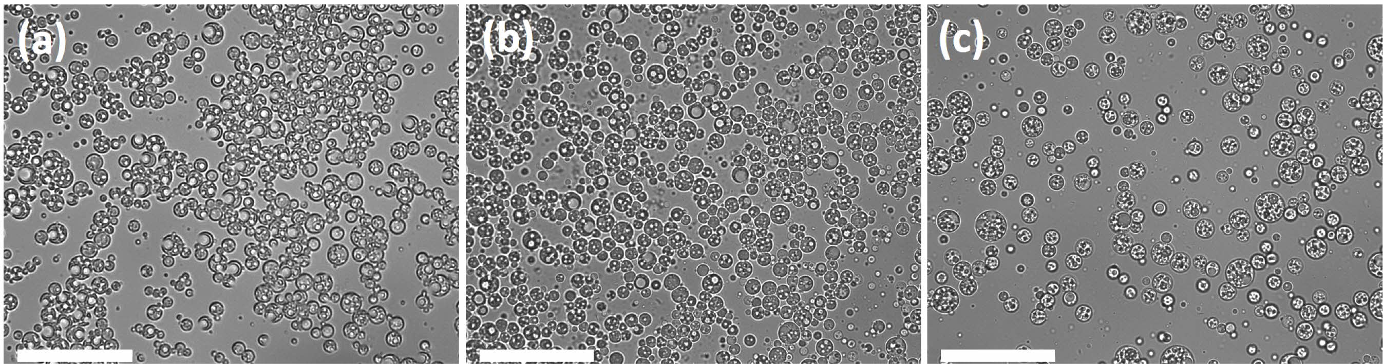
W/O/W 멀티-에멀젼 입자. 제조된 W/O 에멀젼을 바깥쪽 수상에 투입 혼합하여 얻어진 3:7:10, 5:5:10, 7:3:10 W/O/W 멀티-에멀젼을 현미경으로 관찰한 결과를 Figure 5에 나타내었다. 광학 현미경으로 관찰한 입자 이미지 (a), (b), (c)를 보면, 바깥쪽 수상에 분산되어 있는 입자들 안에 또다른 입자들이 존재함을 확인할 수 있고, (b)를 형광 현미경으로 관찰한 이미지 (d)를 보면, 검고 어두운 바깥쪽 수상에 녹색의 입자들이 분산되어있고, 그 녹색 입자들 안에 다시 검고 어두운 입자들이 명확히 뚜렷하게 보이는 것을 확인할 수 있다. 이는 입자들이 녹색을 띄는 것은 W/O 에멀젼에서 관찰된 외상 유상에 유용성 녹색 형광물질 때문이며, 그 녹색 입자들 안에 검고 어둡게 보이는 것은 W/O 에멀젼의 안쪽 수상의 마이크로바이오젤이 존재하는 것으로 이해된다. 즉, 바깥쪽 수상, 중간 유상, 안쪽 수상(마이크로젤) 구조의 W/O/W 멀티-에멀젼이 형성되었음을 의미하며, 안쪽 수상인 마이크로바이오젤에 많은 양의 효능성분을 캡슐화할 수 있는 가능성을 시사한다. Figure 6은 W/O/W 멀티-에멀젼의 입자 크기를 측정한 결과를 나타내었다. (a), (b), (c) 순으로 평균 입자가 각각 4.15, 5.35, 6.22 mm로 커지는 경향을 확인할 수 있는데, 이는 바깥쪽 수상에 분산된 3:7, 5:5, 7:3 W/O 에멀젼의 점탄성이 커지는 경향으로 인해(Figure 4) 동일 혼합 교반 속력에 대해 점성이 커짐에 따른, 형성되는 W/O/W 멀티-에멀젼의 입자의 크기가 커지는 것으로 이해된다.11,12
제조된 3:7:10, 5:5:10, 7:3:10 W/O/W 멀티-에멀젼의 점탄성 거동을 확인하기 위해, 저장 탄성률 및 손실 탄성률을 측정하여 그 결과를 Figure 7에 나타내었다. 그래프 (a), (b), (c) 순으로 저장 탄성률과 손실 탄성률이 모두 각각 조금씩 커지는 경향을 확인할 수 있었다. (a), (b), (c)의 변형률(strain) 0.1-10% 범위에서의 저장 탄성률을 보면, 최소치~최대치가 각각 48.2-49.6, 55.5-56.5, 66.3-67.9 Pa로 증가하였고, 손실 탄성률 역시 각각 8.83-8.96, 8.97-9.22, 11.85-12.35 Pa로 증가하였다. 이는 안쪽 수상이 마이크로바이오젤로 형성되어있는 W/O 에멀젼의 점탄성이 커지는 경향이(Figure 4) W/O/W 멀티-에멀젼의 점탄성에 영향을 미친 것으로 이해된다. 각각 3:7, 5:5, 7:3 비율로 W/O 에멀젼의 안쪽 수상인 마이크로바이오젤의 함량이 많아질수록, 즉 안쪽 수상이 마이크로바이오젤로 형성되어있고, 그 함량이 많아짐으로써, W/O 에멀젼의 점탄성에 영향을 미친 것으로 이해된다. 또한 화장품용 에멀젼으로서의 중요한 특성 중 하나인 장기 안정성 확인을 위해, 제조된 3:7:10, 5:5:10, 7:3:10 W/O/W 멀티-에멀젼을 25 ℃ 챔버에 보관하여 80일 경과 후에 입자를 현미경으로 관찰했을때, W/O/W 멀티-에멀젼 구조가 유지되고 있음을 확인하였고(Figure 8), 지속적으로 면밀한 분석을 진행할 계획이다.
|
Figure 3 Optical microscopy images of (a) 3:7 W/O emulsion; (b) 5:5 W/O emulsion; (c) 7:3 W/O emulsion; (d) fluorescence microscopy images of 5:5 W/O emulsion. The scale bars 75 ℃. |
|
Figure 4 Viscoelastic behavior of (a) 3:7 W/O emulsion; (b) 5:5 W/O emulsion; (c) 7:3 W/O emulsion. |
|
Figure 5 Optical microscopy images of (a) 3:7:10 W/O/W multiemulsion; (b) 5:5:10 W/O/W multi-emulsion; (c) 7:3:10 W/O/W multi-emulsion; (d) fluorescence microscopy images of 5:5:10 W/ O/W multi-emulsion. The scale bars 50 µm. |
|
Figure 6 Particle size distributions of 3:7:10 W/O/W, 5:5:10 W/O/ W, and 7:3:10 W/O/W multi-emulsion. |
|
Figure 7 Viscoelastic behavior of (a) 3:7:10 W/O/W multi-emulsion; (b) 5:5:10 W/O/W multi-emulsion; (c) 7:3:10 W/O/W multi-emulsion. |
|
Figure 8 Optical microscopy images of (a) 3:7:10 W/O/W multi-emulsion; (b) 5:5:10 W/O/W multi-emulsion; (c) 7:3:10 W/O/W multi-emulsion stored in a 25 ℃ chamber for 80 days. The scale bars 50 µm. |
본 연구에서는 마이크로바이오젤-인-오일 에멀젼(W/O 에멀젼)을 1단계로 제조하고 실온 연속 공정으로 2단계에서 W/O/W 멀티-에멀젼을 제조하는 간단한 방법을 제시하였다. 제조된 3:7, 5:5, 7:3 W/O 에멀젼은 안쪽 수상(마이크로바이오젤) 비율이 증가함에 따라 입자 크기도 커지고, 저장 탄성률과 손실 탄성률도 커짐을 확인하였다. 이러한 1단계에서 제조된 W/O 에멀젼이 연속적으로 2단게에서 제조된 3:7:10, 5:5:10, 7:3:10 W/O/W 멀티-에멀젼의 입자 크기와 레올로지에도 영향을 미침을 알 수 있었다. 즉, W/O 에멀젼의 점탄성이 커짐에 따라 형성되는 W/O/W 멀티-에멀젼의 입자 크기와 점탄성도 커지는 것을 확인하였다. 또한 W/O/W 멀티-에멀젼의 현미경 관찰을 통해 바깥쪽 수상에 분산되어 있는 입자들 안에 또다른 입자들이 존재하는 구획된 구조가 형성되었음을 명확히 확인할 수 있었다. 본 연구에서의 W(마이크로바이오젤)/O/W 멀티-에멀젼 제조 방법을 이용하여 안쪽 수상에 고함량의 마이크로바이오젤을 함유시킬 수 있음을 제시하고, 향후 W/O/W 멀티-에멀젼의 구획된 구조 내에 고함량의 수용성 및 유용성 효능성분을 안정적으로 캡슐화할 수 있는 가능성은 W/O/W 화장품 제형 연구에 중요한 가치가 있다.
This Article2024; 48(1): 120-125
Published online Jan 25, 2024
Services
Correspondence to**Department of Chemical Engineering and Applied Chemistry, Chungnam National University, Daejeon 34134, Korea